Hôi miệng là một vấn đề về răng miệng khá phổ biến hiện nay làm bạn mất tự tin, ngại ngùng khi giao tiếp hàng ngày. Nếu bạn đang tìm kiếm những cách giảm hôi miệng nhanh chóng, hiệu quả, dễ thực hiện như vệ sinh răng miệng, điều chỉnh chế độ ăn uống hay sử dụng các loại trái cây, rau củ từ thiên nhiên để lấy lại hơi thở tự tin thì bài viết này chính là giải pháp dành cho bạn. Tham khảo ngay!

Cách giảm hôi miệng
Nguyên Nhân Chính Gây Nên Hôi Miệng
Để giảm hôi miệng hiệu quả, bạn cần xác định nguyên nhân nào dẫn đến hôi miệng từ đó có hướng điều trị phù hợp. Theo Mỹ phẩm cho nam có một số nguyên nhân hôi miệng phổ biến như:
Vệ sinh răng miệng kém

Vệ sinh răng miệng kém
Vệ sinh răng miệng không kỹ lưỡng chính là nguyên nhân phổ biến nhất gây nên hôi miệng hiện nay. Khi răng miệng không được làm sạch, các vụn thức ăn hay mảng bám sẽ mắc lại trong các kẽ răng, trên bề mặt răng hay lưỡi. Điều này sẽ tạo một môi trường thuận lợi cho các vi khuẩn phát triển mạnh mẽ, chúng phân hủy các chất hữu cơ và sản sinh ra các hợp chất sulfur có mùi hôi đặc trưng.
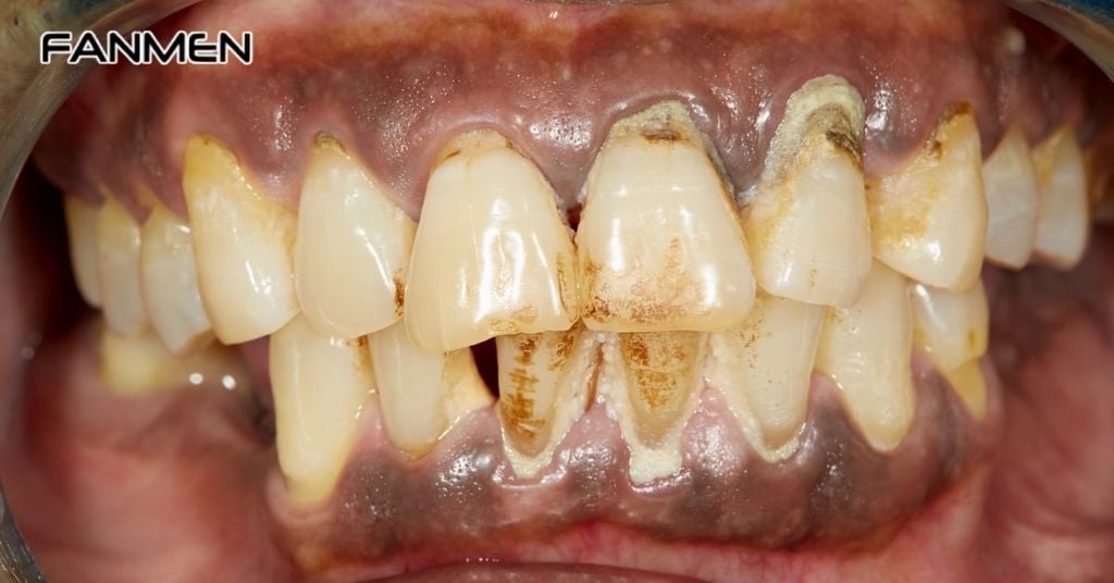
Các bệnh lý viêm nhiễm trong khoang miệng

Các bệnh lý viêm nhiễm trong khoang miệng
Một số bệnh lý liên quan đến răng miệng như viêm nướu, viêm lợi, sâu răng, áp xe răng hoặc viêm quanh chân răng làm môi trường trong khoang miệng trở nên nhiễm trùng, tăng sinh vi khuẩn và tiết ra mùi hôi nồng nặc. Những bệnh răng miệng này không chỉ gây đau đớn mà còn tạo điều kiện cho vi khuẩn phát triển, làm hơi thở trở nên khó chịu và có mùi hôi dai dẳng.
Khô miệng

Khô miệng
Nước bọt đóng vai trò trong việc làm sạch khoang miệng, trung hòa acid và ngăn chặn vi khuẩn phát triển quá mức. Khi miệng bị khô do mất nước, chức năng bảo vệ của nước bọt bị suy giảm, khiến vi khuẩn dễ tích tụ và gây mùi hôi.
Khô miệng có thể xảy ra do nhiều nguyên nhân như: thiếu nước, dùng thuốc gây giảm tiết nước bọt, thở miệng nhiều, hoặc một số bệnh lý liên quan.
Thói quen ăn uống và sinh hoạt

Thói quen ăn uống sinh hoạt
Một số loại thực phẩm có mùi mạnh như hành tỏi, cà phê, rượu bia, đồ ăn dầu mỡ, cay nóng rất dễ làm hơi thở của bạn có mùi sau khi ăn. Đặc biệt, việc hút thuốc lá không chỉ gây mùi hôi mà còn làm tổn thương niêm mạc miệng, gây viêm nhiễm và ảnh hưởng lâu dài đến sức khỏe răng miệng.
Các bệnh lý liên quan đến hệ tiêu hóa và dạ dày

Các bệnh lý liên quan đến hệ tiêu hóa và dạ dày
Các vấn đề liên quan đến dạ dày và hệ tiêu hóa như trào ngược dạ dày, viêm dạ dày, loét dạ dày hoặc rối loạn tiêu hóa đều có thể khiến hơi thở có mùi khó chịu. Nguyên nhân là do acid và các khí trong dạ dày có thể trào ngược lên thực quản, gây mùi hôi ở miệng.
Nếu hôi miệng đi kèm với các triệu chứng như ợ chua, khó tiêu, đau bụng, bạn nên đi khám bác sĩ chuyên khoa tiêu hóa để được chẩn đoán và điều trị kịp thời.
Xem thêm: Miệng Hôi Mùi Cá Ươn: Nguyên Nhân Và Cách Trị Hiệu Quả
7 Cách Giảm Hôi Miệng Nhanh Chóng, Hiệu Quả, Dễ Thực Hiện
Dưới đây là một số cách giảm hôi miệng nhanh, hiệu quả mà bạn có thể tham khảo và áp dụng.
Ưu tiên vệ sinh răng miệng kỹ lưỡng

Ưu tiên vệ sinh răng miệng kỹ lưỡng
Vệ sinh răng miệng là phương pháp tốt nhất để ngăn ngừa hôi miệng. Dưới đây là cách đánh răng đúng để đảm bảo răng miệng luôn sạch sẽ, khỏe mạnh:
-
Đánh răng ít nhất 2 lần/ngày, khoảng 2 phút mỗi lần.
-
Đánh răng sau khi ăn ít nhất 30 phút. Vì ngay sau khi ăn, nồng độ acid trong miệng cao, gây mài mòn men răng.
-
Nên dùng các loại bàn chải có lông mềm và 3-4 tháng thay bàn chải một lần.
-
Đánh răng với lực vừa phải để tránh làm tổn thương nướu.
Ngoài đánh răng, bạn có thể sử dụng các phương pháp vệ sinh răng miệng kết hợp để tăng hiệu quả làm sạch như sử dụng tăm nước, chỉ nha khoa để làm sạch kẽ răng, sử dụng cạo lưỡi để loại bỏ bợn lưỡi và sử dụng các loại nước súc miệng không cồn để làm sạch khoang miệng, loại bỏ vi khuẩn và giúp hơi thở thơm mát.
Xem thêm: 9+ Cách Hết Hôi Miệng Ngay Lập Tức, Dễ Thực Hiện Tại Nhà
Điều chỉnh chế độ ăn uống để giúp hơi thở thơm mát hơn

Điều chỉnh chế độ ăn uống
Các loại thực phẩm có mùi quá nồng như hành tỏi, đồ ăn cay nóng hay quá nhiều dầu mỡ có thể làm tình trạng hôi miệng của bạn trở nên nghiêm trọng hơn. Dưới đây là một số loại thực phẩm có thể giúp bạn giảm tình trạng hôi miệng như:
-
Hoa quả, rau xanh: Các loại hoa quả, rau xanh giàu vitamin C như ớt chuông, cải xanh có thể loại trừ các vi khuẩn trong khoang miệng, chống hôi miệng. Một số loại rau thơm có tác dụng làm thơm miệng như thì là, húng quế, bạc hà, rau mùi,… cũng có thể giúp bạn cải thiện được tình trạng hôi miệng.
-
Kẹo cao su không đường: Một số loại kẹo cao su không đường được làm ngọt bằng xylitol có thể giúp giảm tình trạng hôi miệng. Nên nhai kẹo cao su có xylitol ít nhất 5 phút sau bữa ăn để đạt hiệu quả tốt nhất. Lưu ý không nên sử dụng các loại kẹo cao su có đường để tránh dẫn đến tình trạng sâu răng.
-
Sữa chua: Sữa chua không đường có thể cung cấp rất nhiều lợi khuẩn, không những mang lại lợi ích về mặt sức khỏe mà còn có khả năng giảm hôi miệng. Một số nhà nghiên cứu tại Nhật Bản đã nghiên cứu rằng ăn 100ml sữa chua 2 lần mỗi ngày có thể giảm đáng kể mùi hôi miệng.
Sử dụng nước súc miệng

Sử dụng nước súc miệng
Nước súc miệng là một sản phẩm hỗ trợ làm sạch và mang lại hơi thở thơm mát, giúp bạn loại bỏ các vụn thức ăn và mảng bám ở nơi mà bàn chải không thể với tới như vòm họng, dưới lưỡi.
Bạn có thể dùng kết hợp nước súc miệng không cồn để đạt hiệu quả tốt nhất như nước súc miệng Listerine Gum Care, nước súc miệng Colgate Plax Peppermint Fresh Mouthwash, nước súc miệng tốt cho nướu Kin Gingival.
Khắc phục tình trạng khô miệng

Khắc phục tình trạng khô miệng
Tình trạng khô miệng có thể là bẩm sinh hoặc do bệnh lý, thói quen không tốt, để khắc phục tình trạng này cần:
-
Uống nước nhiều và thường xuyên hơn: Nước có tác dụng làm ẩm khoang miệng, kích thích tiết nước bọt tự nhiên, làm trung hòa vi khuẩn và làm sạch khoang miệng. Theo khuyến nghị của Viện Y tế Quốc gia Hoa Kỳ (NIH), bạn nên uống 8 ly với thể tích 8 ounce/ly, tương đương với khoảng 2 lít nước mỗi ngày.
-
Không hút thuốc lá: Bởi thành phần trong thuốc lá không chỉ gây ra mùi hôi miệng mà còn dẫn tới tình trạng khô miệng.
-
Hạn chế rượu bia và thực phẩm có cồn: Rượu là nguyên nhân hàng đầu gây khô miệng dẫn đến miệng có mùi hôi khó chịu đặc biệt sau khi uống từ 8 – 10 giờ.
-
Tập thói quen thở qua mũi: Thở bằng miệng sẽ dễ gây khô miệng hơn, vì vậy bạn nên tập thói quen này ngay từ hôm nay.
Làm sạch răng miệng chuyên sâu tại nha khoa

Làm sạch răng miệng chuyên sâu tại nha khoa
Cao răng tích tụ trong thời gian dài có thể gây nhiều bệnh răng miệng và làm hơi thở có mùi.
Loại bỏ cao răng, mảng bám trên bề mặt định kỳ giúp răng, nướu chắc khỏe và hạn chế phát sinh các vấn đề về răng miệng. Việc lấy cao răng thường được khuyến nghị thực hiện 6 tháng/lần hoặc khi cảm thấy cao răng đã xuất hiện nhiều.
Điều trị bệnh lý răng miệng

Điều trị bệnh lý răng miệng
Các bệnh phổ biến gây tình trạng hôi miệng là sâu răng, viêm nha chu, viêm nướu, viêm tủy răng,… các bệnh này có thể được xử lý bằng nhiều cách khác nhau như:
-
Sâu răng: Bác sĩ sẽ thực hiện trám răng từ khi mới có vết sâu để ngăn chặn tình trạng sâu răng tiến triển nặng hơn.
-
Viêm tủy răng: Bác sĩ tiến hành điều trị tủy răng bằng cách loại bỏ phần tuỷ bị viêm và và trám bít ống tủy bằng vật liệu phù hợp.
-
Viêm nướu: Điều trị viêm nướu khá giống với quy trình làm sạch răng thông thường nhưng sẽ làm sạch sâu hơn ở vùng chân nướu.
-
Viêm nha chu: Viêm nha chu ở mức độ nhẹ và trung bình sẽ được điều trị bằng cách cạo vôi và làm sạch gốc răng. Tuy nhiên, ở trường hợp nặng bác sĩ sẽ chỉ định phẫu thuật vạt, ghép xương hoặc ghép nướu…
Trong quá trình điều trị, bác sĩ có thể kê thêm một số loại thuốc giảm đau hoặc kháng sinh cho người bệnh.
Kiểm soát, điều trị các bệnh lý đang mắc phải khác

Điều trị bệnh lý răng miệng
Như đã nói, nhiều bệnh có thể gây hôi miệng như các bệnh lý liên quan đến đường tiêu hoá, dạ dày thế nên cách giảm hôi miệng hiệu quả nhất trong những trường hợp này chính là kiểm soát, điều trị dứt điểm các bệnh lý này.
Sử dụng xịt thơm miệng

Sử dụng xịt thơm miệng
Đây là phương pháp mang tính tạm thời, giúp bạn che giấu mùi hôi miệng ngay tức khắc. Các chất chống oxy hóa có trong sản phẩm sẽ trung hòa các hợp chất hóa học gây mùi hôi.
Trên thị trường hiện nay có rất nhiều loại xịt thơm miệng có nhiều thành phần, mùi hương khác nhau, từ các loại thảo dược như bạc hà, trà xanh đến các mùi như socola, dưa hấu. Xịt thơm miệng có thiết kế nhỏ gọn, chỉ từ 10-20ml, hoàn toàn có thể để vào túi xách, ví và sử dụng mọi lúc mọi nơi.
Xem thêm các sản phẩm xịt thơm miệng uy tín chất lượng giúp hỗ trợ cải thiện tình trạng hôi miệng hiệu quả!
Khi Nào Thì Nên Đi Gặp Bác Sĩ?

Khi nào nên đi gặp bác sĩ?
Mặc dù có nhiều cách giảm hôi miệng hiệu quả tại nhà như vệ sinh răng miệng đúng cách, sử dụng nước súc miệng hoặc thay đổi chế độ ăn uống, nhưng trong một số trường hợp, bạn nên đi gặp bác sĩ để được tư vấn và điều trị kịp thời.
-
Mùi hôi dai dẳng, kéo dài, không cải thiện sau hơn 2 tuần mặc dù đã vệ sinh răng miệng kỹ lưỡng, dùng nước súc miệng, thay đổi chế độ ăn uống, sinh hoạt.
-
Khi hôi miệng đi kèm một số triệu chứng khác như đau họng, sưng nướu, chảy máu chân răng hoặc có mủ.
-
Cảm thấy khó nuốt, đau vùng cổ họng hoặc có dấu hiệu nhiễm trùng kéo dài.
-
Có bệnh lý nền như tiểu đường, viêm xoang, bệnh dạ dày hoặc các vấn đề sức khỏe khác nghi ngờ liên quan đến hôi miệng.
-
Muốn được chẩn đoán chính xác và tìm cách giảm hôi miệng hiệu quả, tránh tái phát lâu dài.
Một Số Câu Hỏi Thường Gặp Về Cách Giảm Hôi Miệng
1. Thực phẩm nào nên tránh để giảm hôi miệng?
Hạn chế thực phẩm có mùi mạnh như tỏi, hành, cà phê, đồ uống có cồn, thịt đỏ, đồ ăn chứa nhiều đường…. Uống đủ nước và ăn nhiều rau củ, trái cây chứa nhiều vitamin C, sữa chua,… để giảm tình trạng hôi miệng.
2. Đánh răng thường xuyên có đủ để ngăn hôi miệng không?
Đánh răng hai lần mỗi ngày là cần thiết nhưng chưa đủ. Bạn cần dùng chỉ nha khoa, cạo lưỡi, và súc miệng bằng nước súc miệng kháng khuẩn để loại bỏ vi khuẩn và mảng bám ở những nơi bàn chải không tiếp cận được.
3. Hôi miệng có thể chữa khỏi hoàn toàn không?
Hoàn toàn có thể. Hôi miệng có thể được cải thiện hoặc loại bỏ hoàn toàn nếu bạn xác định đúng nguyên và áp dụng phương pháp phù hợp, đồng thời duy trì thói quen vệ sinh răng miệng và thay đổi lối sống lành mạnh.
Trên đây là 7+ cách giảm hôi miệng đơn giản, dễ thực hiện, hiệu quả mà bạn có thể áp dụng để nhanh chóng lấy lại hơi thở thơm tho, dễ chịu. Tùy thuộc vào nguyên nhân và mức độ hôi miệng mà mỗi người có thể lựa chọn được cho mình phương pháp phù hợp nhất để cải thiện hơi thở và sức khỏe răng miệng lâu dài. Nâng cấp diện mạo làm chủ cuộc chơi cùng Fanmen.























Dấu hiệu của miệng hôi mùi cá ươn

































































































