Hôi miệng hay hơi thở có mùi là tình trạng hơi thở phát ra mùi hôi, khiến nhiều người cảm thấy tự ti khi giao tiếp, ảnh hưởng đến các hoạt động hàng ngày, cuộc sống sinh hoạt, đặc biệt là các mối quan hệ xã hội. Vậy nguyên nhân gây hôi miệng và cách chữa trị hôi miệng như thế nào hiệu quả? Hãy cùng Fanmen tìm hiểu chi tiết về tình trạng hôi miệng qua bài viết dưới đây.

Hôi miệng
Hôi Miệng Là Gì?

Hôi miệng là gì
Hôi miệng là tình trạng hơi thở có mùi khó chịu khi thở ra. Đây là một chứng bệnh không hề hiếm gặp, chiếm đến đến 40% dân số. Mặc dù không gây nguy hiểm đến sức khỏe, nhưng hôi miệng lại ảnh hưởng không nhỏ đến đời sống hàng ngày, khiến người bệnh thường mất tự tin và cảm thấy bối rối trong giao tiếp.
Mùi hơi thở khó chịu chủ yếu là do sự kết hợp của các hợp chất lưu huỳnh bay hơi (VSC), ví dụ như H2S (Hydro Sulfua – có mùi trứng thối), CH3SH (Methyl Mercaptan – mùi hăng giống tỏi) và (CH3)2S (Dimethyl Sulfide)…
Việc tìm hiểu rõ nguyên nhân cùng các vấn đề liên quan đến hôi miệng sẽ giúp tìm ra cách khắc phục hiệu quả cho tình trạng này.
Nguyên Nhân Gây Ra Tình Trạng Hôi Miệng
Dưới đây là những nhân phổ biến dẫn đến hôi miệng:
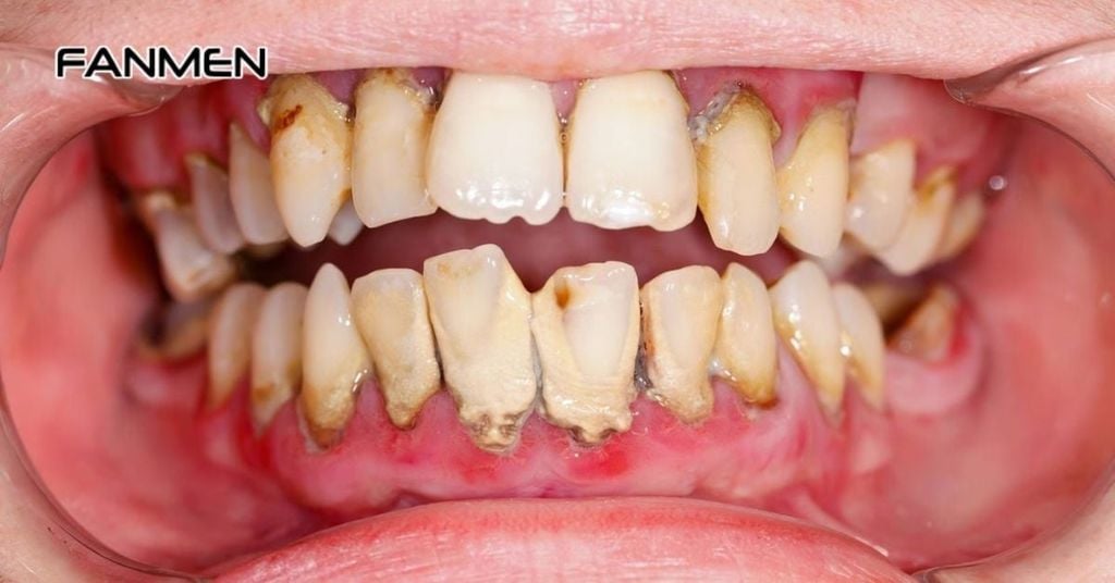
Hôi miệng do vi khuẩn

Hôi miệng do vi khuẩn
Các hợp chất sulfur dễ bay hơi gây hôi miệng được tạo ra bởi vi khuẩn kỵ khí Gram âm khi chúng phân giải protein. Những vi khuẩn này thường cư trú tại các vùng ứ đọng trong khoang miệng, như các túi nha chu, bề mặt lưỡi, kẽ giữa các răng, hoặc trong các tổn thương sâu răng.
Nguyên nhân hôi miệng tạm thời
Hôi miệng tạm thời thường xuất hiện do một số thói quen ăn uống và sinh hoạt hàng ngày, cụ thể:
-
Khi tiêu thụ các thực phẩm hoặc chất làm khô miệng như rượu, thuốc lá, hoặc các thực phẩm giàu protein và đường cao (ví dụ: sữa), quá trình phân hủy trong miệng sẽ giải phóng các amino axit chứa nhiều hợp chất lưu huỳnh (sulphur), gây mùi khó chịu.
-
Hành và tỏi chứa hàm lượng lưu huỳnh cao. Các hợp chất này có thể thẩm thấu qua niêm mạc ruột vào máu, sau đó giải phóng vào phổi và thoát ra ngoài qua hơi thở.
-
Hút thuốc lá không chỉ làm tăng hàm lượng hợp chất dễ bay hơi trong miệng và phổi, mà còn làm tình trạng hôi miệng nặng hơn do gây khô niêm mạc miệng.
-
Hơi thở có mùi vào buổi sáng sau khi ngủ dậy là do trong lúc ngủ, tuyến nước bọt hoạt động giảm, dẫn đến miệng bị khô tạm thời và tích tụ vi khuẩn, gây hôi miệng.
Nguyên nhân hôi miệng xuất phát từ miệng

Nguyên nhân hôi miệng xuất phát từ miệng
Nguyên nhân gây hôi miệng xuất phát từ khoang miệng bao gồm:
- Các bệnh lý nha chu và nướu như viêm nướu, viêm nha chu, viêm nướu hoại tử lở loét cấp tính, viêm quanh thân răng, viêm quanh implant, áp xe răng đều có thể gây hôi miệng.
- Các vết lở loét ở miệng do nguyên nhân ác tính, nguyên nhân tại chỗ, loét aphthous hoặc do tác dụng phụ của một số thuốc cũng là nguyên nhân gây hôi miệng.
- Giảm tiết nước bọt do tuổi tác, sử dụng một số thuốc, xạ trị, hóa trị hoặc hội chứng Sjögren dẫn đến khô miệng và gây hôi miệng.
- Vệ sinh răng miệng không đúng cách, còn lớp cặn lưỡi hoặc nhiễm nấm Candida ở miệng cũng gây ra hôi miệng.
- Sự tích tụ mảnh vụn thức ăn trên các dụng cụ chỉnh nha như hàm giả tháo lắp, khí cụ niềng răng… là một nguyên nhân phổ biến gây hôi miệng.
- Các bệnh lý về xương như viêm tủy xương, hoại tử xương, viêm ổ răng khô hoặc các bệnh ác tính khác ở vùng hàm mặt cũng có thể gây ra hôi miệng.
Một số nguyên nhân hôi miệng khác
Hôi miệng thường xuyên có thể xuất phát từ các yếu tố bên ngoài miệng, chẳng hạn như:
- Sử dụng một số loại thuốc: Một số thuốc có thể gây hôi miệng, bao gồm amphetamine, chloral hydrate, các thuốc gây độc tế bào, dimethyl sulphoxide, disulfiram, nitrate và nitrite, phenothiazine.
- Các bệnh lý toàn thân: Nhiễm trùng vùng mũi họng (như các vấn đề ở mũi, xoang, amidan, vùng hầu họng) có thể dẫn đến hôi miệng do ảnh hưởng đến hệ hô hấp.
- Các bệnh về dạ dày – ruột: Hôi miệng là triệu chứng điển hình và thường gặp ở bệnh trào ngược dạ dày – thực quản. Ngoài ra, nhiễm vi khuẩn Helicobacter pylori gây viêm loét dạ dày cũng là một nguyên nhân phổ biến gây hôi miệng.
- Các bệnh khác như tiểu đường, bệnh gan, bệnh thận…: Những bệnh này làm tăng nguy cơ hôi miệng do quá trình phân hủy mỡ trong cơ thể tạo ra các chất có mùi.
- Hội chứng mùi cá ươn (trimethylaminuria): Đây là một rối loạn di truyền hiếm gặp, do cơ thể không thể chuyển hóa trimethylamine (có trong các thực phẩm tanh như cá). Chất này tích tụ trong cơ thể, đặc biệt ở gan, trước khi được bài tiết ra ngoài qua hơi thở, mồ hôi, nước tiểu, gây mùi khó chịu.
Xem thêm: 9+ Cách Hết Hôi Miệng Ngay Lập Tức, Dễ Thực Hiện Tại Nhà
Cách Điều Trị Hôi Miệng Hiệu Quả

Cách điều trị hôi miệng hiệu quả
Khi nhận thấy bản thân có dấu hiệu hôi miệng, bạn nên đến gặp bác sĩ để được khám và xác định nguyên nhân, từ đó có biện pháp điều trị phù hợp. Phần lớn trường hợp hôi miệng xuất phát từ các vấn đề răng miệng, do vệ sinh không kỹ lưỡng hoặc mắc các bệnh lý trong khoang miệng.
Nếu nguyên nhân hôi miệng là do tình trạng viêm nhiễm như sâu răng, cao răng, mảng bám hoặc viêm quanh răng, bác sĩ sẽ chỉ định các biện pháp can thiệp và điều trị cụ thể.
Ngược lại, nếu hôi miệng không liên quan đến răng miệng, bác sĩ Răng Hàm Mặt sẽ giới thiệu bạn khám tại các chuyên khoa khác như tai mũi họng, tiết niệu… để tìm ra nguyên nhân gốc rễ và đưa ra phương pháp điều trị phù hợp.
Mặc khác, nếu nguyên nhân không phải do vấn đề răng miệng, bác sĩ Răng Hàm Mặt sẽ chỉ định người bệnh khám tại các chuyên khoa: tai mũi họng, tiết niệu,… để tìm nguyên nhân và đưa ra phương pháp điều trị.
Trong trường hợp hôi miệng chỉ tạm thời do ăn thực phẩm có mùi, bạn có thể sử dụng nước súc miệng, kẹo cao su không đường hoặc xịt thơm miệng để nhanh chóng giảm bớt mùi hôi.
Ngoài ra, bạn cũng nên cân nhắc khi sử dụng một số loại thuốc có thể làm giảm tiết nước bọt, từ đó khiến tình trạng hôi miệng nặng hơn. Việc uống đủ nước để giữ miệng không bị khô cũng là biện pháp hiệu quả trong việc điều trị vấn đề hơi thở có mùi.
Song song đó, bạn cần vệ sinh răng miệng đúng cách cũng là cách phòng ngừa và điều trị chứng hôi miệng. Hãy đánh răng ít nhất 2 lần mỗi ngày vào buổi sáng sau khi thức dậy và buổi tối trước khi đi ngủ. Kết hợp sử dụng tăm nước, chỉ nha khoa, bàn chải kẽ để loại bỏ hoàn toàn mảnh vụn thức ăn sót lại.
Đừng quên thường xuyên súc miệng bằng nước súc miệng chuyên dụng và dùng dụng cụ cạo lưỡi để giảm tối đa vi khuẩn cùng mảng bám trên bề mặt lưỡi.
Xem thêm: Hôi Miệng Từ Cổ Họng: Nguyên Nhân Và Cách Điều Trị Hiệu Quả
Các Biện Pháp Phòng Ngừa Hôi Miệng

Cách phòng ngừa hôi miệng
- Đánh răng ít nhất 2 lần mỗi ngày, tốt nhất là sau mỗi bữa ăn khoảng 30 phút. Mỗi lần đánh răng không nên kéo dài quá 3 phút.
- Thay bàn chải đánh răng mới sau mỗi 2-3 tháng sử dụng để đảm bảo hiệu quả làm sạch và tránh gây hôi miệng.
- Kết hợp sử dụng chỉ nha khoa, nước súc miệng, cạo lưỡi để loại bỏ hoàn toàn thức ăn thừa và vi khuẩn trong khoang miệng.
- Uống nhiều nước giúp rửa trôi vi khuẩn và thức ăn thừa trong miệng, đặc biệt sau khi ăn.
- Hạn chế sử dụng nước súc miệng có cồn, vì có thể gây khô miệng do giảm tiết nước bọt. Nên ưu tiên súc miệng bằng nước muối sinh lý hoặc nước lọc thông thường.
- Tránh hoặc giảm tiêu thụ các thực phẩm có mùi mạnh như tỏi, hành, thực phẩm giàu tinh dầu, đồ chiên rán nhiều chất béo hoặc chứa nhiều đường. Nếu sử dụng, cần vệ sinh răng miệng kỹ lưỡng ngay sau khi ăn.
- Không hút thuốc lá vì đây là nguyên nhân phổ biến gây hôi miệng kéo dài.
- Có thể sử dụng thuốc trị hôi miệng theo chỉ định của bác sĩ.
- Nhai kẹo cao su không đường hoặc ăn nhẹ giữa các bữa ăn để kích thích tiết nước bọt, giữ miệng ẩm.
- Hạn chế đồ ngọt và tuyệt đối không bỏ bữa để tránh khô miệng và tích tụ vi khuẩn.
Xem thêm xịt thơm miệng giúp hỗ trợ cải thiện tình trạng hôi miệng.
Giá tốt - săn deal sốc
Câu Hỏi Thường Gặp Về Hôi Miệng
Tại sao đánh răng kỹ nhưng vẫn bị hôi miệng?
Nhiều bạn thắc mắc là tại sao mình đã đánh răng cực kỳ kỹ mà hơi thở vẫn có mùi, có thể là do trong quá trình đánh răng bạn không vệ sinh lưỡi, lưỡi là nơi hoàn hảo cho các vi khuẩn có hại sinh sôi tại đây. Khi đánh răng bạn cũng nên kết hợp vệ sinh cả vùng lưỡi, nếu bỏ quên thì đây chính là nguyên nhân gây nên hôi miệng, dù cho bạn có đánh răng kỹ như thế nào.
Ngoài ra hôi miệng còn do sâu răng, viêm lợi hoặc những lớp cao răng cứng đầu mà việc đánh răng thông thường chẳng thể nào làm sạch hết được.
Tại sao hơi thở vào buổi sáng thường rất nặng mùi?
Đây là hiện tượng sinh lý bình thường. Khi ngủ, lượng nước bọt tiết ra giảm đi đáng kể. Nước bọt đóng vai trò quan trọng trong việc rửa trôi và kiểm soát vi khuẩn. Khi nước bọt ít đi, vi khuẩn trong khoang miệng phát triển nhanh chóng, phân hủy các tế bào chết và thức ăn thừa, từ đó sản sinh ra các hợp chất lưu huỳnh bay hơi gây mùi hôi.
Hôi miệng có phải luôn do vấn đề tại miệng không?
Khoảng 80 – 90% nguyên nhân bắt nguồn từ khoang miệng. Tuy nhiên, 10 – 20% còn lại có thể do các vấn đề sức khỏe khác:
- Hệ hô hấp: Viêm xoang mạn tính, viêm amidan (đặc biệt là sỏi amidan).
- Hệ tiêu hóa: Trào ngược dạ dày thực quản (GERD) hoặc nhiễm vi khuẩn HP.
- Chế độ ăn uống: Ăn nhiều hành, tỏi, thực phẩm giàu đạm hoặc uống nhiều cà phê, rượu bia.
- Bệnh lý chuyển hóa: Tiểu đường, suy thận hoặc các vấn đề về gan thường tạo ra mùi hơi thở rất đặc trưng.
Hy vọng bài viết trên của Fanmen đã cung cấp cho bạn một số thông tin về hôi miệng. Việc vệ sinh răng miệng đúng cách và hiệu quả sẽ giúp khoang miệng luôn sạch sẽ, từ đó giảm thiểu tình trạng mùi khó chịu. Nếu bạn thấy bài viết hay và bổ ích, hãy chia sẻ cho người thân và bạn bè nhé!