Miệng hôi mùi cá ươn hay còn gọi là trimethylaminuria là một rối loạn chuyển hoá đường tiêu hóa đặc biệt, khiến cho miệng người bệnh phát ra mùi hôi khá đặc trưng giống mùi cá ươn. Vậy nguyên nhân nào dẫn đến tình trạng này và làm thế nào để điều trị dứt điểm? Trong bài viết này, Fanmen sẽ giúp cho bạn có cái nhìn toàn diện hơn về miệng hôi mùi cá ươn, từ các dấu hiệu nhận biết đến những nguyên nhân sâu xa, và quan trọng hơn là các phương pháp điều trị hiệu quả cùng những biện pháp phòng ngừa hiệu quả tại nhà. Cùng khám phá ngay nhé!

Miệng hôi mùi cá ươn
Miệng Hôi Mùi Cá Ươn Là Gì?

Miệng hôi mùi cá ươn là gì?
Miệng hôi mùi cá ươn là tình trạng hơi thở có mùi tanh nồng, khó chịu, tương tự như mùi cá chết hoặc cá ươn. Mùi hôi này thường rất rõ ràng và có thể dễ dàng nhận thấy bởi những người xung quanh, gây ra sự bất tiện và ảnh hưởng đáng kể đến các mối quan hệ xã hội cũng như đến sự tự tin trong giao tiếp của bạn.
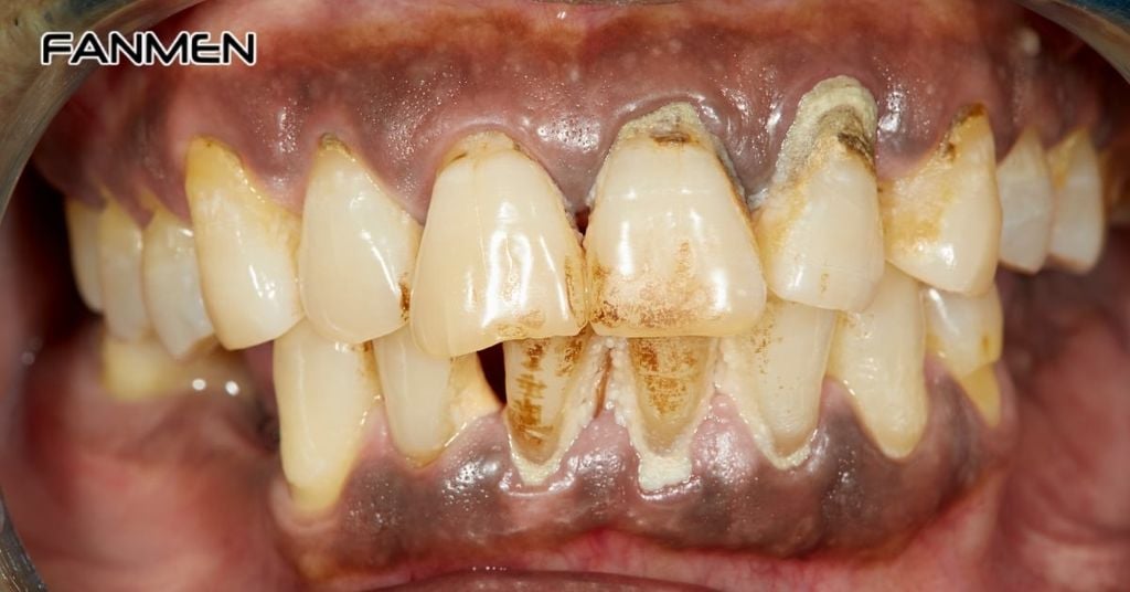
Dấu Hiệu Của Miệng Hôi Mùi Cá Ươn
Dấu hiệu của miệng hôi mùi cá ươn chính là mùi hôi tanh nồng đặc trưng. Ngoài ra, bạn có thể cảm thấy:
Dấu hiệu của miệng hôi mùi cá ươn
-
Vị đắng hoặc chua trong miệng do sự tích tụ của vi khuẩn và các hợp chất lưu huỳnh.
-
Lưỡi có mảng bám trắng hoặc vàng và đặc biệt là ở phần sau lưỡi, nơi vi khuẩn dễ dàng phát triển.
-
Khô miệng vì thiếu nước bọt làm giảm khả năng tự làm sạch của khoang miệng, tạo điều kiện cho vi khuẩn sinh sôi.
-
Cảm giác khó chịu hoặc rát ở họng đôi khi là do vi khuẩn từ miệng lan xuống.
-
Nó có thể đi kèm với đau họng hoặc viêm amidan ở trong trường hợp mùi hôi do nhiễm trùng.
Nguyên Nhân Chính Của Miệng Hôi Mùi Cá Ươn
Nguyên nhân chính của miệng hôi mùi cá ươn có thể xuất phát từ nhiều vấn đề khác nhau từ việc vệ sinh răng miệng kém đến các bệnh lý nghiêm trọng hơn:
Không thể chuyển hóa chất trimethylamine trong cơ thể

Không thể chuyển hóa chất trimethylamine trong cơ thể
Một trong những nguyên nhân chính khiến miệng hôi mùi cá ươn là do không thể chuyển hóa chất trimethylamine trong cơ thể. Chất này thường có trong nhiều loại thực phẩm như cá, thực phẩm biển và một số loại hạt có chứa choline. Người mắc hội chứng này thường thiếu enzyme FMO3, một loại enzyme có vai trò chuyển hoá trimethylamine thành trimethylamine N-oxide. Sự thiếu hụt enzyme này dẫn đến sự tích tụ trimethylamine trong cơ thể và sa đó được đào thải qua mồ hôi, nước tiểu, hơi thở, gây mùi hôi đặc trưng giống cá ươn.
Do đó, người mắc hội chứng này thường phát ra mùi hôi khá đặc trưng, giống như mùi cá ươn. Hội chứng này cũng có nguyên nhân do di truyền. Nếu trong gia đình có người mắc hội chứng này thì nguy cơ bạn bị di truyền cũng cao hơn.
Vệ sinh răng miệng kém

Vệ sinh răng miệng kém
Vệ sinh răng miệng kém là nguyên nhân chính mỗi khi chúng ta ăn uống, những mảnh vụn thức ăn sẽ bám lại trên răng, kẽ răng, nướu và đặc biệt là trên bề mặt lưỡi. Nếu chúng ta không làm sạch kỹ lưỡng, vi khuẩn sẽ nhanh chóng “kết đàn” và phân hủy những mảng bám này. Quá trình phân hủy đó tạo ra các hợp chất lưu huỳnh dễ bay hơi (VSC) – chính là “hung thủ” chính gây ra mùi hôi khó chịu, tanh nồng như mùi cá ươn đấy.
Bệnh nha chu

Bệnh nha chu
Bệnh nha nhu cũng gây ra mùi hôi không chỉ đến từ việc đánh răng chưa sạch, mà còn là dấu hiệu cảnh báo của những vấn đề sâu hơn về nướu và xương ổ răng. Khi bạn bị viêm nướu hay nặng hơn là viêm nha chu, nướu sẽ sưng đỏ, dễ chảy máu và có thể hình thành những “túi” nhỏ giữa răng và nướu.
Những chiếc túi này chính là “thiên đường” lý tưởng cho các loại vi khuẩn kỵ khí phát triển mạnh mẽ. Chúng ẩn náu sâu bên trong và không ngừng sản sinh ra các hợp chất gây mùi tanh, đặc biệt là mùi cá ươn.
Khô miệng

Khô miệng
Bạn có bao giờ để ý rằng khi miệng khô, hơi thở của mình cũng dễ có mùi hơn không? Nước bọt đóng vai trò vô cùng quan trọng trong việc “dọn dẹp” khoang miệng, rửa trôi thức ăn thừa và kiểm soát vi khuẩn. Khi lượng nước bọt tiết ra không đủ – có thể do tác dụng phụ của thuốc, các bệnh lý về tuyến nước bọt, thói quen thở bằng miệng khi ngủ, hoặc đơn giản là bạn không uống đủ nước – miệng sẽ bị khô. Môi trường khô hạn này chính là điều kiện lý tưởng để vi khuẩn “tung hoành” và tạo ra mùi hôi.
Chế độ ăn uống

Chế độ ăn uống
Chế độ ăn uống là nguyên nhân khá “dễ hiểu” và thường chỉ gây mùi hôi tạm thời. Nếu bạn vừa thưởng thức một bữa ăn thịnh soạn với tỏi, hành, một số loại cá nặng mùi hoặc phô mai, đừng ngạc nhiên nếu hơi thở của mình có mùi.
Các chất gây mùi từ những thực phẩm này sẽ được hấp thụ vào máu, sau đó giải phóng qua phổi và thoát ra ngoài khi chúng ta thở. Tuy nhiên, mùi này thường biến mất sau khi bạn vệ sinh răng miệng hoặc sau một thời gian.
Xem thêm: 9+ Cách Hết Hôi Miệng Ngay Lập Tức, Dễ Thực Hiện Tại Nhà
Cách Điều Trị Miệng Hôi Mùi Cá Ươn
Cách điều trị miệng hôi mùi cá ươn phụ thuộc vào các nguyên nhân gây ra. Để có kết quả tốt nhất, bạn nên đến gặp nha sĩ hoặc bác sĩ để được chẩn đoán chính xác và tư vấn phương pháp điều trị phù hợp.

Cách điều trị miệng hôi mùi cá ươn
Cải thiện vệ sinh răng miệng
-
Đánh răng đúng cách bạn sẽ đánh răng ít nhất hai lần mỗi ngày, dùng bàn chải lông mềm và kem đánh răng có fluoride.
-
Dùng chỉ nha khoa để làm sạch kẽ răng ít nhất một lần mỗi ngày để loại bỏ mảng bám và thức ăn thừa.
-
Vệ sinh lưỡi bạn sử dụng dụng cụ cạo lưỡi hoặc mặt sau của bàn chải để làm sạch mảng bám và vi khuẩn trên lưỡi.
-
Sử dụng nước súc miệng bạn nên chọn loại nước súc miệng không chứa cồn có tác dụng diệt khuẩn.
Xem thêm các sản phẩm xịt thơm miệng giúp hỗ trợ cải thiện tình trạng hôi miệng mùi cá ươn hiệu quả!
Điều trị bằng thuốc

Điều trị bằng thuốc
Nếu bạn bị hôi miệng mùi các ươn do là do không thể chuyển hóa chất trimethylamine trong cơ thể thì sẽ được bác sĩ được tư vấn về sử dụng thuốc như activated charcoal (than hoạt tính) để giúp hấp thụ chất trimethylamine trong đường ruột. Hoặc thuốc chất chống oxy hóa hoặc enzyme giúp giảm quá trình sản xuất chất trimethylamine.
Lưu ý: Việc sử dụng thuốc cần phải tuân theo chỉ định và hướng dẫn sử dụng của bác sĩ, sử dụng đúng liều, đủ thời gian để tránh tái phát và kháng thuốc.
Thăm khám nha khoa

Thăm khám nha khoa
Nên thăm khám bác sĩ và kiểm tra răng miệng định kỳ 6 tháng/lần và can thiệp các biện pháp làm sạch chuyên sâu. Cách này sẽ giúp bạn phát hiện sớm các bệnh lý răng miêng như viêm nướu, sâu răng và điều trị kịp thời.
Chế độ ăn uống lành mạnh

Chế độ ăn uống lành mạnh
Thực phẩm mà bạn tiêu thụ hàng ngày có thể ảnh hưởng đến hơi thở. Hạn chế ăn thực phẩm và các loại đồ uống có mùi. Nên ăn các loại trái cây giàu vitamin C như quýt, cam, bưởi, việt quất để vừa làm sạch răng miệng vừa kích thích sản xuất nước bọt, giữ miệng không bị khô. Tuyệt đối không sử dụng thuốc lá hay lạm dụng thức uống có cồn.
Một Số Biện Pháp Giúp Giảm Hôi Miệng Mùi Cá Ươn Tại Nhà

Một số biện pháp giúp giảm hôi miệng mùi cá ươn tại nhà
Bên cạnh việc điều trị theo chỉ định của bác sĩ, bạn có thể áp dụng các biện pháp sau để hỗ trợ giảm mùi hôi:
-
Uống đủ nước sẽ giúp bạn duy trì độ ẩm trong khoang miệng và kích thích sản xuất nước bọt, rửa trôi vi khuẩn.
-
Ăn kẹo cao su không đường hoặc ngậm kẹo bạc hà sẽ kích thích tiết nước bọt và giúp che đi mùi hôi tạm thời.
-
Súc miệng bằng nước muối ấm sẽ giúp sát khuẩn và làm dịu niêm mạc miệng.
-
Sử dụng trà xanh có chứa polyphenol giúp giảm vi khuẩn gây hôi miệng.
-
Ăn các loại rau củ quả tươi giúp làm sạch răng tự nhiên và kích thích tiết nước bọt.
-
Tránh thuốc lá và rượu bia đây là những yếu tố góp phần gây khô miệng và làm trầm trọng thêm tình trạng hôi miệng.
Xem thêm: Viêm Dạ Dày Có Gây Hôi Miệng? Cách Trị Nhanh, Hiệu Quả
Một Số Câu Hỏi Thường Gặp Về Miệng Hôi Mùi Cá Ươn
1. Miệng hôi mùi cá ươn có nguy hiểm không?
Hôi miệng mùi cá ươn bản thân nó không nguy hiểm trực tiếp đến tính mạng, nhưng nó có thể là dấu hiệu của một bệnh lý tiềm ẩn nghiêm trọng như bệnh gan, thận hoặc rối loạn chuyển hóa hiếm gặp. Quan trọng là bạn cần đi khám để xác định nguyên nhân và điều trị kịp thời.
2. Có thể tự điều trị miệng hôi mùi cá ươn tại nhà không?
Nếu nguyên nhân là do vệ sinh răng miệng kém, bạn có thể cải thiện bằng cách chăm sóc răng miệng đúng cách. Tuy nhiên, nếu mùi hôi dai dẳng hoặc có các triệu chứng bất thường khác, bạn cần đến gặp bác sĩ hoặc nha sĩ để được chẩn đoán và điều trị chuyên nghiệp.
3. Làm thế nào để biết chính xác nguyên nhân gây hôi miệng mùi cá ươn?
Cách tốt nhất là bạn nên đến gặp nha sĩ hoặc bác sĩ đa khoa. Họ sẽ thăm khám, kiểm tra răng miệng và có thể yêu cầu các xét nghiệm cần thiết (như xét nghiệm máu, xét nghiệm hơi thở) để tìm ra nguyên nhân gốc rễ.
4. Chế độ ăn uống có ảnh hưởng đến mùi hôi miệng không?
Có. Một số thực phẩm như tỏi, hành, cá, cà phê có thể gây ra mùi hôi tạm thời. Tuy nhiên, nếu mùi hôi là do bệnh lý nền, chế độ ăn uống chỉ là yếu tố phụ.
Hy vọng bài viết trên đã cung cấp cho bạn những thông tin hữu ích về tình trạng miệng hôi mùi cá ươn. Hy vọng sau khi đọc xong bài viết này của Mỹ phẩm Fanmen bạn sẽ hiểu hơn về chứng bệnh này và có cho bản thân cách bảo vệ sức khỏe răng miệng hợp lý nhất. Nâng cấp diện mạo tự tin làm chủ cuộc chơi cùng Fanmen.