Chắc hẳn không ít người trong chúng ta từng gặp tình trạng miệng bị đắng và hôi khi vừa thức dậy. Nếu bạn cũng đang gặp phải tình trạng này, đừng chủ quan vì đây có thể là dấu hiệu của một số bệnh lý. Hãy cùng tìm hiểu nguyên nhân gây ra tình trạng miệng đắng và hôi khi ngủ dậy qua bài viết sau của Fanmen nhé!

Miệng bị đắng và hôi
Miệng Đắng Và Hôi Nguyên Nhân Do Đâu?
Miệng bị đắng và hôi khi vừa thức dậy là tình trạng rất phổ biến mà nhiều người gặp phải. Nguyên nhân là do trong lúc ngủ, tuyến nước bọt giảm tiết dịch, dẫn đến miệng bị khô và tạo môi trường thuận lợi cho vi khuẩn gây mùi phát triển.
Tuy nhiên, nếu hơi thở có mùi hôi kèm theo cảm giác đắng miệng thì có thể không chỉ đơn thuần là vấn đề răng miệng. Bạn hãy kiểm tra xem mình có đang gặp một trong các trường hợp dưới đây không nhé!
Bệnh trào ngược dịch mật

Bệnh trào ngược dịch mật
Dịch mật được chứa trong túi mật là chất do gan sản xuất, có vai trò tiêu hóa chất béo trong thức ăn, đồng thời giúp loại bỏ độc tố ra khỏi cơ thể và tăng cường hệ miễn dịch.
Trào ngược dịch mật là một trong những nguyên nhân chính gây cảm giác đắng miệng. Phần lớn các trường hợp trào ngược dịch mật xảy ra do biến chứng sau phẫu thuật cắt túi mật, phẫu thuật dạ dày hoặc do viêm loét dạ dày.
Suy giảm chức năng gan
Nếu buổi sáng thức dậy, bạn cảm thấy miệng đắng và hôi, kèm theo các triệu chứng khác như ợ nóng, cơ thể mệt mỏi, sụt cân, ho khan…, thì cần đi khám sớm để kiểm tra.
Gan là cơ quan quan trọng thực hiện nhiều chức năng như sản xuất protein, hồng cầu, thải độc máu, dự trữ năng lượng và tiết dịch mật hỗ trợ tiêu hóa. Khi chức năng gan suy giảm, sẽ dẫn đến hàng loạt vấn đề về sức khỏe và ảnh hưởng trực tiếp đến quá trình tiết mật.
Từ đó gây ra các vấn đề về tiêu hóa, người bệnh thường sợ ăn mỡ, chán ăn, vàng da và thường xuyên thấy đắng miệng. Nếu có các triệu chứng nghi ngờ bệnh về gan, bạn cần nhanh chóng đi khám và làm các xét nghiệm men gan, siêu âm gan… để kiểm tra sức khỏe của cơ quan này. Không nên chủ quan để lâu, tránh dẫn đến những hậu quả nghiêm trọng khó lường.
Trào ngược dạ dày, thực quản

Trào ngược dạ dày, thực quản
Bệnh trào ngược dạ dày – thực quản (GERD) là một trong những nguyên nhân phổ biến gây rối loạn vị giác, dẫn đến cảm giác đắng miệng và hơi thở có mùi hôi. Ngoài ra, bệnh còn kèm theo nhiều triệu chứng điển hình khác như: ợ hơi, ợ chua, tức ngực, đau tức vùng thượng vị, ho kéo dài.. Các bệnh lý tiêu hóa liên quan như viêm loét dạ dày – tá tràng cũng có thể gây triệu chứng đắng miệng và hôi miệng tương tự.
Nếu bạn đang gặp phải các dấu hiệu trên, hãy đến khám chuyên khoa Tiêu hóa sớm để được chẩn đoán chính xác và điều trị kịp thời, tránh biến chứng lâu dài.
Bệnh tiểu đường
Bệnh tiểu đường khiến cơ thể thường xuyên bị mất nước. Một trong những biểu hiện điển hình là khô miệng, đặc biệt khô miệng vào ban đêm, dẫn đến tình trạng hơi thở có mùi hôi và miệng đắng.
Bệnh tiểu đường cần được phát hiện và kiểm soát sớm để phòng ngừa các biến chứng nguy hiểm. Do đó, nếu bạn gặp các dấu hiệu như khát nước thường xuyên, khô miệng vào ban đêm, đi tiểu nhiều lần, giảm cân không rõ lý do, dễ mắc các bệnh nhiễm trùng… thì nên đi khám sớm nhé.
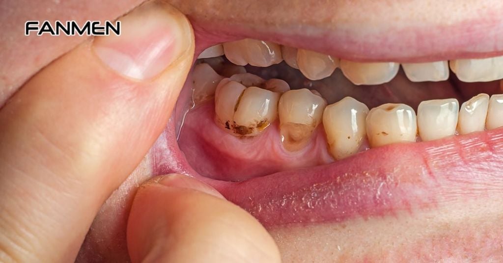
Do gặp vấn đề về răng miệng

Do gặp vấn đề về răng miệng
Hôi miệng kèm theo cảm giác đắng miệng có thể là dấu hiệu của một số vấn đề răng miệng như khô miệng, cao răng, sâu răng hoặc viêm nướu. Khi răng miệng gặp các vấn đề này, vi khuẩn sẽ dễ dàng phát triển và hoạt động mạnh, từ đó sản sinh ra các khí có mùi khó chịu.
Để phòng ngừa các bệnh lý về răng và nướu, điều quan trọng nhất là bạn cần duy trì vệ sinh răng miệng sạch sẽ hàng ngày. Nên lấy cao răng định kỳ 6 tháng/lần. Đồng thời, bổ sung đầy đủ dinh dưỡng để giúp răng và nướu khỏe mạnh từ bên trong.
Nhiễm nấm gây triệu chứng miệng đắng chát và hôi
Bệnh nấm miệng (tưa miệng) do nấm men Candida gây ra trong khoang miệng. Nấm phát triển quá mức dẫn đến viêm nhiễm trên niêm mạc miệng, lưỡi và cổ họng, thường biểu hiện bằng các đốm trắng hoặc mảng trắng trên bề mặt. Ngoài ra, người bệnh có thể gặp các triệu chứng khác như miệng đắng chát, hơi thở có mùi hôi, đau rát khi nhai và nuốt thức ăn.
Vấn đề tại đường hô hấp

Vấn đề tại đường hô hấp
Đôi khi, các bệnh lý liên quan đến đường hô hấp cũng có thể dẫn đến triệu chứng đắng miệng và hơi thở có mùi hôi khó chịu. Chẳng hạn, các bệnh như cảm lạnh, viêm xoang… thường gây ra hơi thở hôi và vị đắng trong miệng. Khi xuất hiện các triệu chứng kèm theo như nghẹt mũi, đau rát họng, ho, đau đầu và chảy nước mũi, bạn nên xem xét đến nguyên nhân từ các vấn đề ở đường hô hấp.
Xem thêm: 9+ Cách Hết Hôi Miệng Ngay Lập Tức, Dễ Thực Hiện Tại Nhà
Cách Xử Lý Miệng Bị Đắng Và Hôi Đơn Giản Và Hiệu Quả Nhất
Như vậy, tình trạng đắng miệng và hơi thở có mùi mỗi khi thức dậy buổi sáng không chỉ đơn thuần là dấu hiệu cảnh báo cơ thể đang gặp vấn đề về sức khỏe. Do đó, bạn nên theo dõi thêm các triệu chứng khác kèm theo, và nếu nghi ngờ mắc phải các bệnh lý liên quan, hãy đến cơ sở y tế để được thăm khám cụ thể, từ đó có biện pháp điều trị kịp thời.
Ngoài ra, tình trạng hôi miệng và đắng miệng còn gây bất tiện, phiền toái trong giao tiếp hàng ngày, vì vậy bạn cũng có thể quan tâm đến các cách xử lý nhanh chóng để khắc phục tạm thời tình trạng hôi miệng.
Vệ sinh răng miệng thường xuyên

Vệ sinh răng miệng thường xuyên
Chải răng sạch sẽ giúp loại bỏ các mảnh vụn thức ăn đọng lại ở kẽ răng cũng như các mảng bám – đây chính là nguồn thức ăn béo bở cho vi khuẩn gây mùi hôi miệng.
Theo khuyến cáo của các chuyên gia về sức khỏe răng miệng, chúng ta nên đánh răng ít nhất 2 lần mỗi ngày vào buổi sáng và buổi tối. Nên chọn kem đánh răng có chứa fluoride và các thành phần chiết xuất từ thiên nhiên như bạc hà, trà xanh, hoa cúc… để giúp hơi thở sạch sẽ và thơm mát hơn.
Khi chải răng, bạn không nên bỏ qua việc làm sạch lưỡi vì bề mặt lưỡi cũng tích tụ rất nhiều mảng bám thức ăn và vi khuẩn – những nguyên nhân chính gây hôi miệng.
Hãy sử dụng chỉ nha khoa để làm sạch các kẽ răng, giúp loại bỏ thức ăn thừa còn sót lại và giảm nguy cơ gây mùi hơi thở khó chịu.
Ngoài ra, nên súc miệng thường xuyên sau mỗi bữa ăn và sau khi đánh răng để loại bỏ vi khuẩn gây mùi trong khoang miệng.
Chế độ ăn uống khoa học
Hạn chế tiêu thụ các thực phẩm và đồ uống có mùi mạnh, dễ lưu lại trong khoang miệng và hơi thở, chẳng hạn như: tỏi, hành, tiêu, cà ri, măng tây, đồ ăn nhanh chứa nhiều dầu mỡ, rượu bia, cà phê…
Nên từ bỏ những thói quen xấu ảnh hưởng đến sức khỏe như hút thuốc lá và uống rượu bia, vì chúng không chỉ gây hôi miệng mà còn mang lại nhiều tác hại nghiêm trọng khác cho cơ thể.
Mỗi sáng sau khi thức dậy, hãy uống ngay một cốc nước ấm để giảm tình trạng khô miệng – đây là một trong những nguyên nhân chính dẫn đến hơi thở có mùi hôi và cảm giác đắng miệng.
Chế độ sinh hoạt lành mạnh

Chế độ sinh hoạt lành mạnh
Một chế độ sinh hoạt lành mạnh mang lại rất nhiều lợi ích cho sức khỏe răng miệng, đặc biệt là giúp cải thiện tình trạng hôi miệng do rối loạn nội tiết. Những thói quen sinh hoạt lành mạnh như tập thể dục nhẹ nhàng hàng ngày, đi ngủ sớm, thư giãn tinh thần… cần được bạn duy trì đều đặn mỗi ngày.
Xử lý mùi hôi miệng và cảm giác đắng miệng tạm thời
-
Sử dụng gừng là một cách hiệu quả để giảm hôi miệng và cảm giác đắng miệng, giúp loại bỏ mùi khó chịu trong hơi thở. Mỗi buổi sáng sau khi đánh răng, bạn có thể ngậm một lát gừng tươi hoặc pha gừng thành nước súc miệng để sử dụng.
-
Uống trà xanh vào buổi sáng không chỉ mang lại cảm giác thư thái, sảng khoái mà còn giúp ngăn ngừa hôi miệng và đắng miệng. Tuy nhiên, nên uống trà xanh sau khi đã ăn nhẹ và pha loãng để tránh làm vàng răng.
-
Ngậm ô mai chua ngọt sẽ kích thích tuyến nước bọt tiết ra nhiều hơn, giúp chống khô miệng và hôi miệng. Vị chua ngọt của ô mai cũng dễ dàng làm giảm cảm giác đắng trong miệng.
-
Nhai kẹo cao su không đường có hương bạc hà hoặc trái cây giúp tăng tiết nước bọt, tiêu diệt vi khuẩn gây mùi và để lại hơi thở thơm mát lâu dài.
-
Xịt thơm miệng giúp loại bỏ mùi hôi nhanh chóng, đặc biệt là hiệu quả ở những người có bệnh lý hôi miệng chưa rõ nguyên nhân hoặc sau khi hút thuốc, sau khi ăn uống những thực phẩm có mùi nồng, nặng (tỏi, hành, mắm, mùi tanh cá biển, hải sản,…).
Xem thêm: Nguyên Nhân Gây Hôi Miệng Ở Người Lớn, Cách Khắc Phục
Cách Hạn Chế Tình Trạng Miệng Đắng Và Hôi Thường Xuyên

Cách hạn chế tình trạng miệng đắng và hôi thường xuyên
Để giảm thiểu tình trạng miệng đắng và hôi kéo dài, bạn có thể áp dụng các biện pháp sau:
-
Vệ sinh răng miệng đúng cách và đều đặn: Đánh răng ít nhất 2 lần/ngày, kết hợp sử dụng chỉ nha khoa và nước súc miệng.
-
Uống đủ nước hàng ngày: Giúp giữ độ ẩm cho miệng và thúc đẩy tiết nước bọt.
-
Khám răng định kỳ: Đến nha sĩ kiểm tra ít nhất 6 tháng/lần để phát hiện và xử lý sớm các vấn đề răng miệng.
-
Hạn chế chất kích thích: Tránh hoặc giảm rượu bia, thuốc lá và các chất kích thích khác.
-
Xây dựng chế độ ăn lành mạnh: Giảm đồ ăn cay nóng, nhiều dầu mỡ; tăng cường rau củ và trái cây tươi.
-
Xem xét lại thuốc đang dùng: Một số thuốc có thể gây tác dụng phụ khiến miệng đắng. Nếu nghi ngờ, hãy tham khảo ý kiến bác sĩ.
-
Giảm căng thẳng: Căng thẳng là một nguyên nhân phổ biến gây miệng đắng. Bạn có thể thử các phương pháp thư giãn như yoga, thiền hoặc tập thể dục đều đặn.
-
Điều trị bệnh lý nền: Nếu miệng đắng xuất phát từ một bệnh lý khác (ví dụ: trào ngược dạ dày, tiểu đường…), cần tuân thủ điều trị theo hướng dẫn của bác sĩ.
-
Việc áp dụng đồng bộ các biện pháp trên sẽ giúp giảm đáng kể tình trạng miệng đắng thường xuyên đồng thời cải thiện sức khỏe răng miệng.
FAQ – Câu Hỏi Thường Gặp Về Tình Trạng Miệng Bị Đắng Và Hôi
Miệng đắng có nguy hiểm không?
Mặc dù tình trạng đắng miệng thường không gây ảnh hưởng nghiêm trọng đến đời sống sinh hoạt hàng ngày, nhưng nó có thể là dấu hiệu cảnh báo một số vấn đề sức khỏe như vệ sinh răng miệng kém, khô miệng, tác dụng phụ của thuốc men hoặc các bệnh lý nghiêm trọng hơn (ví dụ: trào ngược dạ dày thực quản, rối loạn gan mật). Do đó, việc xác định chính xác nguyên nhân gây đắng miệng là rất quan trọng để áp dụng phương pháp xử lý phù hợp và kịp thời.
Chế độ ăn uống cần lưu ý gì?
-
Nên tránh: Thức ăn cay nóng, nhiều dầu mỡ, hành tỏi, cà phê và đồ uống có cồn. Những thứ này làm trầm trọng hơn tình trạng trào ngược và gây khô miệng.
-
Nên bổ sung: Trái cây giàu Vitamin C (cam, bưởi) để kích thích tuyến nước bọt và các loại trà thảo mộc (trà gừng, trà bạc hà) giúp làm sạch hơi thở.
Miệng đắng và hôi khi nào cần đi khám?
Thường không nguy hiểm nếu chỉ thỉnh thoảng, nhưng nếu kéo dài (> vài tuần), kèm triệu chứng như đau bụng, buồn nôn, mệt mỏi, sụt cân, hoặc vàng da, cần khám ngay để loại trừ bệnh gan mật, dạ dày, hoặc nhiễm trùng nghiêm trọng. Nên gặp nha sĩ trước để kiểm tra răng miệng.
Qua đây chắc hẳn bạn đã nắm được những nguyên nhân dẫn đến tình trạng miệng bị đắng và hôi. Hy vọng những hướng dẫn xử lý và khắc phục trên của Fanmen sẽ giúp bạn nhanh chóng đẩy lùi tình trạng miệng bị đắng và hôi. Dù chỉ là những dấu hiệu nhỏ, tuy nhiên bạn cũng chớ chủ quan mà hãy đến bệnh viện kiểm tra vấn đề khoang miệng sớm bạn nha.