Hôi miệng là tình trạng hơi thở phát ra mùi khó chịu. Đây không phải là một tình trạng hiếm gặp, cũng không gây nguy hiểm đến sức khỏe, nhưng lại ảnh hưởng nghiêm trọng đến chất lượng cuộc sống của của nhiều người. Vậy hôi miệng do đâu, trong bài viết này, Fanmen sẽ giúp bạn hiểu rõ hơn về một số nguyên nhân phổ biến gây hôi miệng hiện nay.

Hôi miệng do đâu
Hôi Miệng Là Gì?

Hôi miệng là gì
Hôi miệng là tình trạng hơi thở có mùi hôi kéo dài hoặc thường xuyên, không chỉ là mùi tạm thời thoáng qua sau khi ăn các thực phẩm nặng mùi. Mùi hôi này xuất phát từ bên trong khoang miệng và có thể dễ dàng nhận biết khi người đó nói chuyện, thở hoặc cười. Trong y khoa, tình trạng này được gọi bằng thuật ngữ “halitosis”.
Theo các nghiên cứu, hôi miệng là một vấn đề răng miệng khá phổ biến trên toàn thế giới, với tỷ lệ mắc ước tính từ 22% đến 50%. Dù nhiều người gặp phải tình trạng này, nhưng nó thường bị ngó lơ và chưa được quan tâm đúng mức trong cả phòng ngừa lẫn điều trị hôi miệng.
Hôi Miệng Do Đâu? Nguyên Nhân Gây Hôi Miệng
Dưới đây là một số nguyên nhân được xác định là thủ phạm gây nên chứng hôi miệng:
Hơi thở hôi vào buổi sáng sớm

Hơi thở hôi vào buổi sáng sớm
Hầu hết mọi người đều gặp tình trạng hơi thở có mùi ở các mức độ khác nhau sau khi thức dậy. Đây là hiện tượng hoàn toàn bình thường, diễn ra do miệng bị khô và ứ đọng suốt nhiều giờ liền khi ngủ. Bạn có thể dễ dàng nhận biết điều này vì mùi thường giảm nhanh hoặc biến mất ngay sau khi nước bọt bắt đầu tiết ra nhiều hơn – thường là khi bạn ăn sáng hoặc uống nước.
Khô miệng
Mùi hôi miệng có liên quan đến tình trạng khô miệng. Nguyên nhân chính là do lượng nước bọt giảm, dẫn đến suy yếu cơ chế chải rửa tự nhiên trong khoang miệng, khiến vi khuẩn dễ dàng tích tụ và gây hôi miệng.
Nguyên nhân phổ biến nhất gây khô miệng là trong giấc ngủ ban đêm, khi miệng thường mở và tiết nước bọt giảm mạnh. Ngoài ra, khô miệng còn có thể xuất phát từ nhiều yếu tố khác như mất nước, tác dụng phụ của một số thuốc – đặc biệt là thuốc chống trầm cảm nhóm Tricyclic, hội chứng Sjogren, xạ trị…
Thức ăn, thức uống và dùng thuốc

Thức ăn, thức uống và dùng thuốc
Các hóa chất có trong thực phẩm và đồ uống có thể xâm nhập vào máu qua hệ thống mao mạch ở đường tiêu hóa. Nhiều người thường nhận thấy hơi thở có mùi tỏi, mùi cay nồng hoặc mùi rượu ở những người vừa ăn tỏi, thức ăn cay hoặc uống đồ có cồn – đây là nguyên nhân phổ biến gây hôi miệng tạm thời.
Ngoài ra, một số loại thuốc điều trị các bệnh lý khác nhau, cũng như thuốc hóa trị ung thư, có thể gây ra hoặc làm nặng thêm tình trạng hôi miệng.
Hút thuốc lá
Đây là một nguyên nhân phổ biến gây hôi miệng, bởi khi hít khói thuốc lá, các chất gây mùi hôi trong hơi thở sẽ theo khói bay ra ngoài. Ngoài ra, hút thuốc còn làm bệnh nướu tiến triển nặng hơn – đây cũng là nguyên nhân chính dẫn đến tình trạng mùi hôi miệng.
Bệnh lý y khoa

Bệnh lý y khoa
Một số bệnh lý ở mũi có thể gây ra mùi hôi trong miệng. Ví dụ, polyp mũi, viêm xoang hoặc dị vật kẹt trong mũi có thể tạo ra mùi hôi khó chịu ở miệng. Trong những trường hợp này, mùi hôi thường chỉ xuất hiện hoặc trở nên nặng hơn khi thở bằng mũi, còn khi thở bằng miệng thì mùi hôi sẽ giảm rõ rệt hoặc không đáng kể.
Các tình trạng viêm nhiễm hoặc có khối u ở phổi, họng, miệng hoặc amidan cũng có thể dẫn đến hôi miệng.
Những bệnh lý y khoa này thường kèm theo các triệu chứng đặc trưng khác ngoài mùi hôi, chẳng hạn như nghẹt mũi, đau đầu, sốt,…
Hội chứng mùi cá
Đây là một bệnh lý y khoa hiếm gặp nhưng vẫn cần lưu ý. Bệnh gây ra tình trạng cơ thể và hơi thở phát ra mùi đặc trưng giống mùi cá. Hội chứng này xảy ra do cơ thể mất khả năng phân hủy trimethylamine – một chất có trong một số loại thực phẩm. Kết quả là trimethylamine tích tụ và được thải ra ngoài qua mồ hôi, nước tiểu cũng như hơi thở.
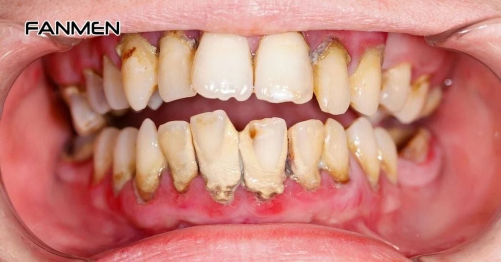
Mảng bám, vôi răng và nha chu

Mảng bám, vôi răng và nha chu
Mảng bám răng là những lớp chất mềm, màu trắng đục bám trên bề mặt răng. Chúng hình thành từ sự kết hợp giữa vi khuẩn trong khoang miệng với thức ăn thừa và nước bọt. Vôi răng (hay còn gọi là cao răng) là mảng bám đã bị vôi hóa theo thời gian, trở nên cứng và bám chắc vào bề mặt răng.
Bệnh nha chu là tình trạng viêm nhiễm các tổ chức xung quanh răng. Khi nướu bị viêm, dễ chảy máu khi đánh răng hoặc dùng chỉ nha khoa, đó là dấu hiệu của bệnh nha chu. Bệnh nha chu có thể tiến triển từ mức độ nhẹ đến nặng nếu không được điều trị kịp thời.
Bựa lưỡi
Một số người xuất hiện lớp bựa ở phần sau lưỡi mà y học hiện nay vẫn chưa giải thích rõ ràng nguyên nhân. Có thể hiện tượng này liên quan đến dịch nhầy chảy ngược từ mũi xuống họng. Lớp bựa lưỡi này thường chứa vi khuẩn, và đây cũng chính là lý do khiến một số người dù vệ sinh răng miệng kỹ lưỡng vẫn bị hôi miệng.
Xem thêm: 9+ Cách Hết Hôi Miệng Ngay Lập Tức, Dễ Thực Hiện Tại Nhà
Cách Điều Trị Hôi Miệng Dựa Trên Nguyên Nhân Gây Hôi Miệng
Việc điều trị hôi miệng phụ thuộc chủ yếu vào nguyên nhân gây nên tình trạng này, bao gồm:
Cải thiện vấn đề vệ sinh răng miệng

Cải thiện vấn đề vệ sinh răng miệng
Vệ sinh răng miệng đúng cách và đều đặn sẽ giúp khoang miệng luôn sạch sẽ, hơi thở thơm tho. Bạn có thể cải thiện thói quen vệ sinh răng miệng theo các bước sau:
-
Chải răng đúng kỹ thuật: Chải răng ít nhất 2 lần mỗi ngày, sử dụng bàn chải lông mềm và kem đánh răng chứa fluoride. Thực hiện động tác chải theo vòng tròn nhỏ hoặc lên xuống nhẹ nhàng, đảm bảo làm sạch tất cả các mặt răng và vùng nướu.
-
Làm sạch kẽ răng: Sử dụng chỉ nha khoa hoặc bàn chải kẽ để loại bỏ mảng bám và thức ăn thừa ở các kẽ răng – những vị trí mà bàn chải thông thường không thể tiếp cận.
-
Làm sạch lưỡi: Lưỡi là nơi tích tụ nhiều vi khuẩn gây hôi miệng. Việc vệ sinh lưỡi giúp loại bỏ vi khuẩn, tế bào chết và cặn thức ăn trên bề mặt lưỡi, từ đó giảm đáng kể tình trạng hơi thở có mùi.
-
Sử dụng nước súc miệng: Nước súc miệng hỗ trợ tiêu diệt vi khuẩn ở những vùng khó tiếp cận như kẽ răng, bề mặt lưỡi và niêm mạc miệng, đồng thời giúp làm sạch sâu hơn và khử mùi hôi hiệu quả.
-
Vệ sinh hàm giả và khí cụ nha khoa: Nếu đang sử dụng hàm giả, mắc cài hoặc khay niềng răng, hãy tháo ra và làm sạch hàng ngày theo đúng hướng dẫn của bác sĩ nha khoa để ngăn ngừa vi khuẩn tích tụ và gây mùi.
Điều trị nha khoa chuyên nghiệp
Điều trị nha khoa chuyên nghiệp là cách khắc phục hôi miệng hiệu quả nếu các phương pháp vệ sinh răng miệng thông thường không cải thiện.
-
Cạo vôi răng định kỳ 6 tháng/lần: Thực hiện cạo vôi răng định kỳ mỗi 6 tháng để loại bỏ mảng bám và cao răng tích tụ, giúp ngăn ngừa bệnh nướu và giảm hôi miệng.
-
Điều trị viêm nướu/viêm nha chu: Khi mắc viêm nướu hoặc viêm nha chu, cần điều trị triệt để, loại bỏ hoàn toàn nguồn gây mùi và ngăn ngừa biến chứng.
-
Trám răng và chữa tủy: Sâu răng cùng viêm tủy tạo thành các ổ nhiễm trùng trong miệng, dẫn đến mùi hôi khó chịu. Việc điều trị kịp thời và triệt để các vấn đề này sẽ loại bỏ hiệu quả nguồn gây mùi.
-
Phục hình răng: Thay thế các miếng trám cũ bị hỏng, mão răng hoặc cầu răng không còn khít sát để tránh thức ăn và vi khuẩn tích tụ, từ đó loại bỏ các ổ vi khuẩn tiềm ẩn gây hôi miệng.
Điều trị hôi miệng do các nguyên nhân không phát sinh từ miệng

Điều trị hôi miệng do các nguyên nhân không phát sinh từ miệng
-
Nếu nguyên nhân gây hôi miệng xuất phát từ thói quen ăn uống, bạn nên hạn chế tiêu thụ các thực phẩm có mùi nặng hoặc mùi hăng. Sau khi sử dụng những thực phẩm này, cần vệ sinh răng miệng đúng cách ngay lập tức.
-
Đối với hôi miệng do nhiễm trùng xoang hoặc các vấn đề sức khỏe liên quan đến hệ hô hấp, cần chẩn đoán chính xác nguyên nhân gây bệnh, điều trị triệt để nguyên nhân đó để khắc phục tình trạng hôi miệng.
-
Ở người bệnh tiểu đường và các bệnh mạn tính khác, để điều trị hôi miệng, trước tiên cần kiểm soát tốt tiến triển của bệnh. Bác sĩ điều trị sẽ hướng dẫn các biện pháp nhằm giảm mùi hôi khó chịu trong khoang miệng, tùy theo từng trường hợp bệnh cụ thể.
Bí Quyết Giữ Hơi Thở Luôn Thơm Mát Mỗi Ngày
Dưới đây là một số bí quyết đơn giản giúp bạn duy trì hơi thở luôn tươi mát mỗi ngày:
-
Uống đủ nước: Hãy uống từ 2 – 2,5 lít nước mỗi ngày để giữ độ ẩm cho khoang miệng, kích thích sản xuất nước bọt. Nước bọt đóng vai trò quan trọng trong việc làm sạch miệng tự nhiên, loại bỏ thức ăn thừa và vi khuẩn gây mùi hôi.
-
Vệ sinh lưỡi thường xuyên: Sử dụng dụng cụ cạo lưỡi hoặc mặt sau bàn chải đánh răng để làm sạch bề mặt lưỡi. Thói quen này giúp ngăn ngừa tình trạng hôi miệng hiệu quả.
-
Nhai kẹo gum không đường: Trong trường hợp hôi miệng chỉ tạm thời do ăn thực phẩm có mùi, bạn có thể sử dụng nước súc miệng, kẹo cao su không đường hoặc xịt thơm miệng để nhanh chóng giảm bớt mùi hôi.
-
Chọn thực phẩm hợp lý: Ưu tiên bổ sung rau xanh, trái cây, các loại hạt và thực phẩm giàu chất xơ vào bữa ăn hàng ngày. Đồng thời, hạn chế tiêu thụ đồ ngọt, hành tỏi, món ăn nhiều gia vị mạnh, cũng như đồ uống có cồn vì chúng dễ gây hôi miệng hoặc làm tăng nguy cơ bệnh răng miệng.
-
Khám răng định kỳ: Hãy đến nha sĩ kiểm tra răng miệng ít nhất 6 tháng/lần để phát hiện và điều trị sớm các vấn đề như sâu răng, viêm nướu, viêm nha chu – những nguyên nhân phổ biến dẫn đến hôi miệng.
-
Tránh thuốc lá và hạn chế rượu bia: Không hút thuốc lá và giảm thiểu việc uống rượu bia để tránh tình trạng khô miệng và mùi khó chịu kéo dài.
Câu Hỏi Thường Gặp Về Nguyên Nhân Hôi Miệng
Hôi miệng khi nào cần đi khám?
Hôi miệng có thể là dấu hiệu của các bệnh lý răng miệng hoặc các bệnh lý toàn thân khác. Vì vậy, bạn nên đến gặp bác sĩ nha khoa hoặc bác sĩ chuyên khoa càng sớm càng tốt nếu gặp phải một trong các trường hợp sau:
-
Hôi miệng dai dẳng: Nếu tình trạng hôi miệng không cải thiện dù đã vệ sinh răng miệng kỹ lưỡng (chải răng, dùng chỉ nha khoa, súc miệng đúng cách) và kéo dài liên tục trong nhiều tuần hoặc nhiều tháng, đây có thể là dấu hiệu của một vấn đề sức khỏe tiềm ẩn cần được bác sĩ chuyên môn kiểm tra.
-
Xuất hiện dấu hiệu bệnh lý răng miệng: Hôi miệng kèm theo các triệu chứng như đau răng, chảy máu chân răng, sưng nướu, răng lung lay, hoặc có vết loét trong miệng. Đây có thể là biểu hiện của các bệnh răng miệng nghiêm trọng (viêm nha chu, sâu răng nặng, áp-xe răng…) cần được thăm khám và điều trị sớm để tránh biến chứng.
-
Nghi ngờ nguyên nhân ngoài miệng: Khi hôi miệng đi kèm với các triệu chứng khác như khô miệng kéo dài, viêm xoang mãn tính, trào ngược dạ dày thực quản, hoặc các bệnh nội khoa khác, có thể nguyên nhân không chỉ nằm ở khoang miệng. Việc thăm khám sẽ giúp xác định chính xác nguyên nhân và có hướng điều trị phù hợp.
-
Hơi thở có mùi hôi bất thường: Hơi thở có mùi hôi khác thường, không giống như mùi hôi miệng thông thường, ví dụ như mùi amoniac, mùi trái cây (acetone), hoặc mùi tanh có thể là dấu hiệu của bệnh: tiểu đường (mùi acetone), bệnh thận (mùi amoniac) hoặc bệnh gan (mùi tanh).
Làm thế nào để xác định mình đã mắc chứng hôi miệng?
Dưới đây là hai cách chính để giúp bạn xác định xem mình có bị hôi miệng hay không:
-
Tự kiểm tra: Bạn có thể úp lòng bàn tay che kín mũi và miệng, sau đó thở ra bằng miệng rồi nhanh chóng ngửi mùi trong lòng bàn tay để xem có mùi khó chịu không. Một cách khác là dùng chỉ nha khoa làm sạch kẽ răng, sau đó ngửi mùi trên chỉ để đánh giá hơi thở. Ngoài ra, cách đơn giản và đáng tin cậy nhất là nhờ người xung quanh xác định khi tiếp xúc gần họ.
-
Sử dụng thiết bị y tế: Phương pháp tự kiểm tra thường không hoàn toàn chính xác vì khả năng cảm nhận mùi của mỗi người khác nhau, dễ dẫn đến đánh giá chủ quan. Tại các phòng khám chuyên khoa răng hàm mặt hoặc tai mũi họng, bác sĩ sẽ sử dụng máy halimeter (máy đo nồng độ hợp chất lưu huỳnh trong hơi thở) để kiểm tra chính xác. Cách này không chỉ xác định rõ mức độ hôi miệng mà còn giúp tìm ra nguyên nhân gây ra tình trạng, từ đó đưa ra phương pháp điều trị phù hợp nhất.
Hy vọng bài viết trên của Mỹ phẩm Fanmen đã giúp bạn hiểu rõ nguyên nhân hôi miệng do đâu. Tình trạng hôi miệng có thể xuất phát từ nhiều yếu tố như: vệ sinh răng miệng chưa tốt, chế độ ăn uống thiếu khoa học, các bệnh lý tiềm ẩn,… Vì vậy, khi gặp tình trạng hôi miệng, bạn nên sớm đến thăm khám nha khoa để ngăn chặn kịp thời, giúp lấy lại sự tự tin đồng thời phòng ngừa các bệnh lý răng miệng tiềm ẩn khác.